| Lekarz |
Вадим Додатко
|
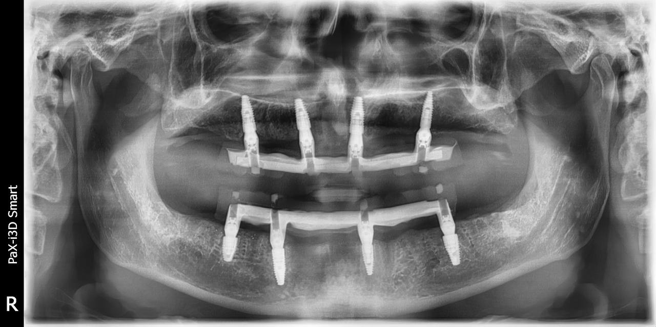
All on 4
Zdjęcia wykonanych zabiegów
Zatrudniamy wyłącznie wysoko wykwalifikowanych lekarzy. Stomatolodzy Astra Dent regularnie uczestniczą w profesjonalnych warsztatach i stażach w Polsce i za granicą.
Cennik
Nasze ceny
Lekarze
Najlepsi specjaliści
Zatrudniamy wyłącznie wysoko wykwalifikowanych lekarzy. Stomatolodzy Astra Dent regularnie uczestniczą w profesjonalnych warsztatach i stażach w Polsce i za granicą.
Lekarze